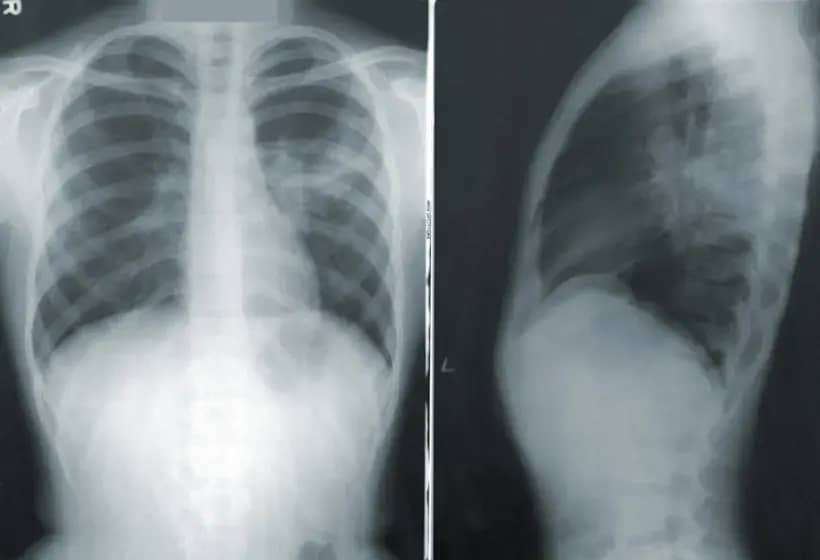
Simptomi upale pluća
Upala pluća ili pneumonija izaziva upalu alveola u jednom ili oba plućna krila, koje se mogu napuniti tečnošću ili gnojem i otežati disanje. Najčešći simptomi su uporan kašalj sa sluzi, groznica, kratak dah, bol u grudima pri disanju ili kašljanju, umor, mučnina, povraćanje ili dijareja. Upala pluća može dati i bol u leđima.
Zašto se javlja bol u leđima
Bol u leđima pri upali pluća nastaje zbog širenja upale na okolne mišiće i tkiva i iritacije pleure. Pleuritični bol se često oseća u gornjem ili srednjem dijelu leđa, može biti oštar ili tup i pogoršavati se dubokim udisajem, kašljanjem ili pokretom. Uporan kašalj dodatno napreže mišiće leđa.
Gde se javlja bol i kada potražiti pomoć
Bol u gornjem delu leđa češće prati upalu u gornjim plućnim režnjevima, dok donji dio leđa može biti pogođen kod naprezanja ili širenja infekcije. Ako se bol u leđima javlja uz otežano disanje, jaku temperaturu ili bol u grudima, potrebno je odmah potražiti ljekarsku pomoć.
Vrste pneumonije i komplikacije
Pneumonija može biti bakterijska (čest uzročnik Streptococcus pneumoniae), virusna (npr. grip, SARS‑CoV‑2, RSV), gljivična ili atipična (Mycoplasma, Chlamydia). Najčešće komplikacije su pleuralni izliv, apsces pluća, sepsa, meningitis i respiratorna insuficijencija. Teška bakterijska upala pluća može biti smrtonosna, zato je rana dijagnoza i liječenje važno.







