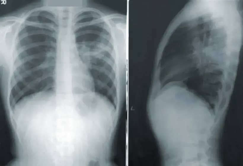
Pneumokok i rizik
Streptococcus pneumoniae često kolonizuje sluzokožu nosa i ždrela, naročito kod djece; kolonizacija je prisutna kod oko 60 odsto mališana mlađih od dvije godine. Pneumokok može izazvati blaža oboljenja poput zapaljenja srednjeg uha (pogađa gotovo 80 odsto djece do druge godine), ali i teške pneumokokne infekcije kao što su upala pluća, sepsa i meningitis.
Sezona i komplikacije
Pneumokokna bolest nema jasnu sezonu, ali u jesenje-zimskom periodu, kada su učestale virusne respiratorne infekcije, udružene infekcije dovode do težih kliničkih oblika. Teže forme pneumokoknih infekcija često zahtijevaju hospitalizaciju i unapređenu prevenciju.
Vakcinacija i preporuke
Stručnjaci upozoravaju da desetovalentna vakcina trenutno ne pruža dovoljan obuhvat serotipova. Potrebno je uvrstiti vakcinu sa najmanje trinaest serotipova u nacionalni program immunizacije. Vakcinacija protiv pneumokoka je efikasna mjera za sprečavanje teških pneumokoknih infekcija i smanjenje potrebe za antibioticima.
Program i obuhvat u Srbiji
U Srbiji je konjugovana pneumokokna vakcina uvedena u kalendar 2018. godine, a od 2023. primarna vakcinacija se sprovodi sa dvije doze uz revakcinaciju u drugoj godini života. Obuhvat primarnom vakcinacijom kretao se od 88,4% (2020) do 92,3% (2024), dok je obuhvat revakcinaijom u drugoj godini ispod 90%.
Ko je u riziku i poziv na vakcinaciju
Poseban rizik imaju osobe sa hroničnim bolestima: dijabetes, maligniteti, astma, HOBP, bolest srca, ljudi bez slezine i imunokompromitovani. Uprkos pravima na besplatnu vakcinu, godišnje se u Srbiji vakciniše svega oko 9.000 građana iz rizičnih grupa. Vakcinacija je najbolji način da se zaštite deca i odrasli od teških pneumokoknih infekcija.







